Traitement Fracture de Fatigue par des Kinésithérapeutes Spécialistes

Les fractures de fatigue représentent une problématique majeure en médecine sportive, touchant environ 10% des lésions sportives. Chez les athlètes, l’incidence annuelle peut atteindre 20%, avec des chiffres particulièrement préoccupants chez les coureuses où l’incidence grimpe jusqu’à 45%. Les femmes sportives sont 1,5 à 3,5 fois plus exposées que les hommes. Les membres inférieurs concentrent 77% des cas, le pied représentant près de 50% des localisations. Le taux de récidive pouvant atteindre 21%, une prise en charge adaptée par des kinésithérapeutes parisiens spécialisés s’avère cruciale.

Fracture de Fatigue du Pied : Qu'est-ce que C'est ?

Traitement Fracture de Fatigue

Une fracture de fatigue est une lésion osseuse qui se développe progressivement par accumulation de contraintes répétées. Contrairement à une fracture classique liée à un traumatisme violent, cette pathologie résulte de microtraumatismes créant des petites fissures dans l’os.

Le pied représente la localisation la plus fréquente. Cette fatigue osseuse survient lorsque le processus de réparation naturel ne compense plus les micro-dommages. Les zones vulnérables incluent le métatarse du pied, le tibia, le péroné et parfois le genou. Découvrez notre contenu traitant de la prise en charge de kinésithérapie du genou.

Quels Sont les Symptômes à Reconnaître ?

La douleur constitue le symptôme principal d’une fracture de fatigue. Elle apparaît initialement pendant l’effort et disparaît au repos, puis devient progressivement persistante même lors d’activités simples comme la marche.

Dans le cas d’une fatigue du pied, la douleur se localise précisément sur la zone affectée. Une sensibilité accrue à la pression et un œdème localisé accompagnent généralement ces symptômes.

Il est essentiel de reconnaître rapidement ces symptômes. Une fracture de fatigue non traitée expose au risque d’aggravation nécessitant une prise en charge plus complexe.

Marche et Mise en Charge avec une Fracture de Fatigue

Traitement Fracture de Fatigue à Paris

La réponse dépend de la gravité de la fracture de fatigue et de sa localisation. La marche reste techniquement possible aux stades précoces mais fortement déconseillée sans adaptation. Poursuivre une mise en charge complète aggrave systématiquement la lésion.

Les kinésithérapeutes spécialistes recommandent une réduction de la charge sur le membre affecté. L’utilisation de béquilles devient souvent nécessaire pour décharger la zone pendant le traitement. Cet article explique pourquoi ce repos relatif s’avère crucial pour la guérison.

Causes et Facteurs de Risque chez les Athlètes

augmentation facteur de risque de fracture de fatigue chez l'athlète

Les athlètes de haut niveau présentent un risque élevé de développer une fracture de fatigue. L’augmentation trop rapide de l’intensité ou du volume d’entraînement constitue la cause principale. Le surentraînement sans récupération empêche la régénération osseuse.

Les sports à impacts répétés créent une fatigue osseuse cumulative. Des facteurs nutritionnels jouent un rôle : une alimentation inadéquate en calcium et vitamine D compromet la solidité osseuse. L’ostéoporose augmente significativement le risque même chez les jeunes sportifs pratiquant une activité intensive.

Les caractéristiques biomécaniques influencent aussi la survenue de cette fatigue structurelle : technique déficiente, matériel inadapté ou anomalies du pied créent des contraintes anormales. Par exemple, une pronation excessive modifie la répartition de la charge et favorise la fracture de fatigue métatarsienne.

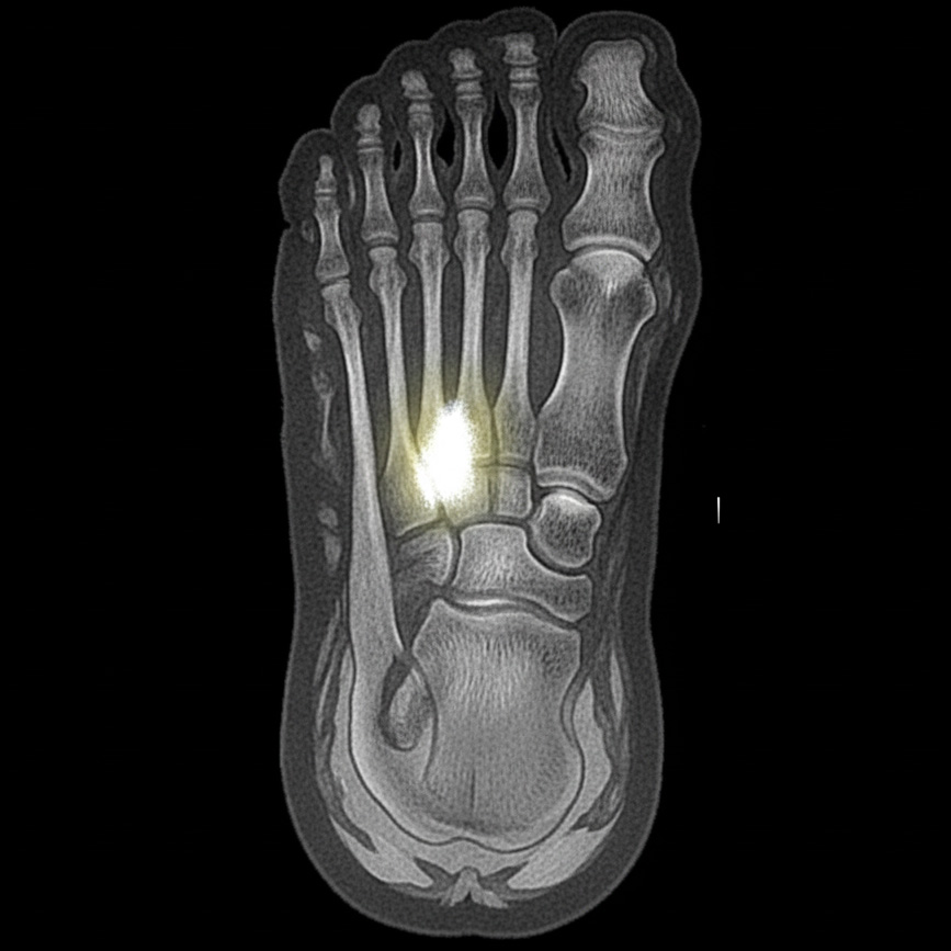
Le Diagnostic de la Fracture de Fatigue

Le diagnostic d’une fracture de fatigue exige une approche rigoureuse. L’examen clinique révèle une sensibilité localisée précise. La radiographie représente l’examen de première intention, mais présente une limite : les petites fissures restent invisibles pendant les premières semaines.

L’IRM constitue l’examen de référence pour confirmer le diagnostic rapidement. Elle détecte les modifications osseuses précoces, l’œdème médullaire et les fissures invisibles à la radiographie. Ce diagnostic précoce permet d’initier le traitement adapté.

Quels Sont les Traitements Adaptés ?

Le traitement d’une fracture de fatigue repose sur plusieurs piliers complémentaires adaptés à la sévérité, la localisation et le profil du patient.

Prendre rendez-vous

Repos et Kinésithérapie Spécialisée

Le repos constitue le fondement du traitement de la fracture de fatigue, signifiant une réduction de la charge sur la zone affectée. L’arrêt complet de la pratique responsable s’impose pendant six à huit semaines. La suite du programme inclut une reprise progressive.

L’intervention d’un kinésithérapeute spécialiste s’avère indispensable pour une récupération optimale. Le professionnel établit un programme personnalisé : techniques manuelles douces, rééducation proprioceptive, exercices d’équilibre progressifs.

Le renforcement musculaire ciblé corrige les déséquilibres et prévient les récidives. Le kinésithérapeute surveille la progression et adapte le programme. L’objectif vise la guérison de la fracture de fatigue mais aussi la correction des facteurs de risque.

Prendre rendez-vous

Optimisation Nutritionnelle

L’alimentation joue un rôle crucial dans la guérison. Un apport adéquat en calcium reste essentiel pour la minéralisation osseuse pendant la phase de consolidation.

La vitamine D favorise l’absorption du calcium. Une supplémentation peut s’avérer nécessaire en période hivernale. Les protéines soutiennent la reconstruction des structures osseuses.

Quel Médicament pour Fracture de Fatigue ?

La prise en charge médicamenteuse d’une fracture de fatigue reste limitée. Aucun traitement spécifique n’accélère directement la consolidation osseuse. Les médicaments visent principalement à gérer les symptômes.

Les antalgiques simples soulagent la douleur initiale. Les anti-inflammatoires doivent être utilisés avec prudence car ils pourraient ralentir la guérison. Chez les patients présentant une ostéoporose, des traitements pour renforcer la densité osseuse peuvent être prescrits.

Chirurgie : Quand Est-elle Nécessaire ?

La chirurgie demeure exceptionnelle dans le traitement d’une fracture de fatigue, concernant moins de 5% des cas de fracture. Les fractures à risque de pseudarthrose constituent les principales indications chirurgicales.

Certaines localisations mal vascularisées peuvent bénéficier d’une fixation préventive. La décision prend en compte la localisation, le degré de déplacement et l’échec du traitement conservateur.

Combien de Temps pour Guérir d'une Fracture de Fatigue ?

La guérison d’une fracture de fatigue nécessite entre six et douze semaines en moyenne. Cette durée varie selon la localisation : une fracture de fatigue métatarsienne du pied consolide en six à huit semaines, tandis qu’une fracture du tibia requiert huit à douze semaines.

Le genou et les zones soumises à forte charge demandent souvent plus de temps. Le respect du protocole détermine le succès de la récupération. Une reprise prématurée compromet la guérison et augmente le risque de récidive.

Comment Soigner une Fracture de Fatigue ?

La prise en charge d’une fracture de fatigue nécessite une approche globale. Durant les premières semaines, la protection prime. La réduction de la charge via béquilles évite l’aggravation.

La pratique d’activités alternatives sans impact, comme la natation, maintient la condition cardiovasculaire. À mesure que la consolidation progresse, la reprise débute sous supervision. Le kinésithérapeute guide cette transition délicate vers la guérison complète.

La dernière phase prépare le retour à l’activité sportive. Un programme de renforcement restaure les capacités fonctionnelles. Les exercices réintroduisent progressivement les impacts pour prévenir une nouvelle fracture de fatigue.

Prévention et Suivi par des Kinésithérapeutes Spécialistes

La prévention d’une nouvelle fracture de fatigue représente un objectif majeur suite à la guérison. La progression prudente des charges d’entraînement constitue la règle d’or.

Augmenter le volume ou l’intensité de plus de 10% par semaine expose au risque de nouvelle fatigue osseuse. L’intégration de périodes de récupération permet l’adaptation osseuse aux nouvelles contraintes.

Le recours à des kinésithérapeutes spécialistes optimise significativement les résultats. Leur expertise permet une évaluation précise, un diagnostic différentiel rigoureux et un programme personnalisé.

Ces professionnels possèdent une compréhension approfondie de la consolidation osseuse. Ils adaptent le protocole selon l’évolution clinique et évitent les erreurs courantes comme une reprise trop précoce.

L’éducation du patient constitue un pilier du succès. Comprendre la physiologie de la guérison, reconnaître les signaux d’alerte et intégrer les principes de prévention favorisent l’adhésion au traitement.

Chez PRISM PHYSIO, nos kinésithérapeutes spécialisés vous accompagnent de la phase initiale jusqu’au retour complet à vos activités. N’hésitez pas à consulter rapidement en présence de symptômes évocateurs pour bénéficier d’un traitement optimal.